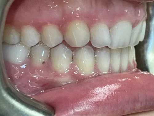
Close up example of the patient’s photo taken at a 90 degree angle. Please note the teeth in frame in the example photo, as this photo is a common reason why Invisalign will request additional photos, when taken incorrectly.
Close up example of the patient’s photo taken at a 90 degree angle. Please note the teeth in frame in the example photo, as this photo is a common reason why Invisalign will request additional photos, when taken incorrectly.